
Without a risk factor in sight, Alexa John was diagnosed with breast cancer thanks to supplemental screening.
One grain of sand. Something that slips so easily from notice. It was the size of Alexa John’s cancer. One grain of sand. Not a mass or a tumor.
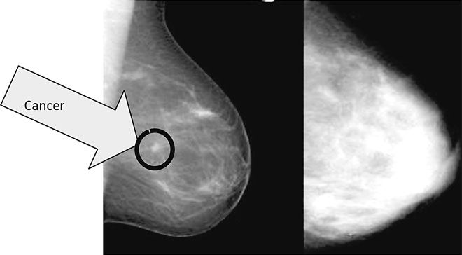
In 2013 the Lafayette woman who never misses her annual doctor’s visit with OB-GYN Daniel Bourque had no lumps and a clean mammogram. What she did have was dense breast tissue, which nearly hid the minute cancer from view.
“My mammogram was clear, [but] the ultrasound showed [the cancer],” John says.
Thanks to a new measure passed by the Louisiana State Legislature just this year, an ultrasound is now standard — in addition to an annual mammogram — for patients with dense breast tissue. In 2013, John’s radiologist, Dr. Gary Matthews at The Breast Center of Acadiana, was already informing patients of their dense tissue and taking the extra step of recommending the supplemental whole breast ultrasound screening. Not all doctors were, and none were required to before the passing of the new measure.
Dense breast tissue is not itself indicative of breast cancer. Its medical relevance is the ease with which cancer can be found in a breast.
“Think of the cancer like something the size of a pea and imagine finding it in something with the consistency of hamburger meat. Now imagine the consistency of a roast,” John says.
John had no family history of breast cancer, not a risk factor as far as the eye could see. And yet, today, she is living proof that breast cancer screenings, for some women, are truly the only alert that anything is amiss. And the difference between life and death.
Even with Stage 1 cancer, John still endured a bilateral mastectomy, chemo of the “red devil” variety (it’s believed to be about as pleasant as its name) and just recovered from a hysterectomy.
“People think one day they’ll just feel a lump and just take everything off [both breasts,” John says.
Life — and cancer — is never so cut and dried. Each type of cancer is different based on its stage, the patient and factors that reach into infinity. Because John’s particular brand of cancer was fed by estrogen, it changed her life “after mastectomy.”
“It’s not like putting a box on a shelf after you have cancer. I don’t feel sorry for myself, but this is not over. I was an early stage diagnosis, and I’ve had a total of eight surgeries in two years,” she says.
Alexa John may sound like a familiar name, may be a familiar face more than most. She is found often in society pages. Her husband, Peter John, is the co-owner of JohnPac Inc. in Crowley.
I don’t remember how I learned Alexa John had breast cancer. She was someone I saw frequently over the years at social events. I do remember, however, exactly what she looked like when she was battling cancer. She looked like a beauty queen.
Her husband was the king of Troubadours, and she showed up to the ball in a flesh-colored snug dress with glorious golden hair. Beneath the dress was one newly constructed breast and one prosthetic breast following an infection that required the removal of an expander in her chest. Beneath the wig a bare head. And in her body flowed doses of chemo.
Not all nights looked like that night I saw her at the Troubadours Ball. But that night, as her husband reigned as king over the krewe, she looked every bit the part of royalty.
“I was wearing a wig and had one breast,” she says with a laugh. “But cancer would not steal my Bergdorf dress.”
Today, she’s back at oncologist Dr. Jean Brierre’s office every three months for a checkup, and has not a single regret about the course of treatment she chose. Years ago, women like John may have gone with a lumpectomy. But the tide is changing thanks to more information, better testing and what some call the Angelina Jolie effect: Two years ago the celeb learned she’s the carrier for an aggressive form of breast cancer and underwent a bilateral mastectomy and hysterectomy without a cancer cell in her body. It brought a serious conversation into many patient rooms.
“All you need is one cancer cell left behind, and it’s coming back,” John says of her personal choice to do more than a lumpectomy.
While not all women with breast cancer should or do have a mastectomy and subsequent hysterectomy, genetic testing like the kind Jolie had (and other forms of risk assessment) is giving women a realistic picture of the risk of cancer.
“Now, my prognosis is 1 to 2 percent if I take an estrogen blocking medicine every day,” John says. “I believe the Angelina Jolie effect is great. No one would do this for a trendy thing. This is major surgery with a huge recovery.”
Dr. Tyshaun James-Hart, a board certified breast surgeon at Women’s and Children’s Hospital, says Jolie choosing to share her choice is one of the best things that’s happened in her field.
“It gave a lot of women courage to say something, and not everybody who has a mutation should have a mastectomy,” Hart says. “But knowledge is power, and you need to know if you’re at risk and know what you can do.”
For women like John, there didn’t seem to be a doubt about what to do. In addition to the surgeries, John also takes tamoxifen (an estrogen blocker), which is another option for women who have never had breast cancer but are at an increased risk.
“Women who have an increased risk of 1.7 percent or greater five-year risk based on the GAIL Model risk assessment tool should be offered risk-reduction therapy with five years of tamoxifen,” says Dr. Techksell M. Washington, a hematologist and oncologist with Our Lady of Lourdes Regional Medical Center.
ARE YOU DENSE?
Chances are great that you just might be dense — in your breasts. Dense breast tissue is comprised of less fat and more connective tissue, which appears white on a mammogram. Cancer also appears white, which makes spotting cancer in dense breast tissue more challenging than in fatty tissue.

Why would you be dense?
As a woman ages, her breasts usually become more fatty. But women of any age can have dense tissue — two-thirds of pre-menopausal and a quarter of post menopausal women have dense breast tissue. Radiologists have been reporting dense breast tissue to referring doctors for 20 years. Most often, that information is not conveyed to the patient. Until now.

A new movement to raise patient awareness and allow women with dense breast tissue the opportunity for an ultrasound following a mammogram is taking hold nationwide.
While dense tissue is not an indicator of cancer, it is relevant in screening for some women.
To learn more go to areyoudense.org.
SOURCE: AreYouDense.org
GO LOCAL
When it comes to medical care, the “go local” campaign seems to fly out the window. But Alexa John says she had zero doubt about keeping her treatment in Acadiana.
John, who had breast cancer that led to a bilateral mastectomy, breast reconstruction and hysterectomy, said she was able to get all the care she needed in Lafayette. Doctors from different hospitals communicated about her care, and for her mastectomy, two surgeons (oncology surgeon Dr. Jason Breaux along with plastic surgeon Dr. Ken Odinet) joined forces so that she was able to have her breasts removed and begin reconstruction at the same time.
“People would ask if I was going to Texas. Why would I go to Texas? For what I had I was able to do everything in Lafayette,” she says.
While some patients do benefit from traveling for clinical trials or other unique treatments, research the options in your own backyard. Lafayette General Medical Center, in particular, participates in various types of clinical trials and studies.
“For example, several years ago we had patients right here at [LGMC] participate in a highly successful clinical trial for breast cancer,” says Melissa Mackey, Lafayette General clinical research team leader/data manager. “The new drug helped our patients, and was so effective throughout the country that the drug is now used nationally as a standard treatment option. Those patients, some in the later stages of cancer, benefited immediately because LGMC had access to the clinical trial.”










