Oct. 3, 2016 11:25 AM
New laser offers relief for women suffering from the loss of estrogen, particularly those treated for breast cancer ...
Aug. 1, 2016 10:46 AM
New implant may be a game-changer for those battling sleep apnea ...
Aug. 1, 2016 10:46 AM
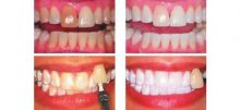
In the world of cosmetic dentistry, the latest and greatest for getting a killer smile is coming from both a return to the basics and the use of cutting edge technology and better materials ...
July 1, 2016 11:12 AM
We’re conditioned to believe if it’s prescribed by a doctor it’s OK, but opioids, while legally available, are as dangerous as heroin ...
Jan. 4, 2016 11:20 AM
There is a lot of newness on the local workout horizon, so much so that what’s old is new again ...
Jan. 4, 2016 11:20 AM
The St. Martin Parish School Board has just launched its first telemedicine clinic, called Telehealth for Tots, to provide easier medical access for students at rural locations via telecommunications ...
Oct. 26, 2015 01:21 PM
Hot dogs, bacon, cold cuts and other processed meats raise the risk of colon, stomach and other cancers, and red meat probably contributes to the disease, too ...
Oct. 2, 2015 11:12 AM
Without a risk factor in sight, Alexa John was diagnosed with breast cancer thanks to supplemental screening ...
June 1, 2015 10:54 AM
Lafayette-based XstremeMD was recognized by ConocoPhillips as part of its Supplier Recognition Award program ...
May 1, 2015 11:05 AM
The 4th Annual Free Skin Cancer Screening will be held on Saturday, May 2, from 9 a.m. to 12 p.m. at the Lafayette Community Health Care Clinic ...